La hernia diafragmatica congenita es una enfermedad grave y mortal y solo es gracias al trabajo en equipo, desde el periodo gestacional y a los cuidados intensivos durante y despues de la cirugia que estos bebes pueden sobrevivir y llegar a llevar una vida normal agradezco infinitamente a mi equipo de colaboradores, ultrasonido Alfonso Canseco Torres, Obstetras Dr castelan Dra Carrera, anestesiologos Letty Espinoza Gaspern , Jose Luis Obregon a mis admirables pediatras y neonatologos Dra Erma Crivelli Murillo Dra Silva, Dra Ana Laura, Dr Candido Reyes, Dr Gamboa... a todo el equipo de enfermeria y todo el Personal del HRRB que ha colaborado para que los pacientes que padecen este problema salgan adelante.
Masculino de 10 años que acude al servicio de pediatria con dolor testicular de 12 hrs de evolucion, caracterizado por aumento de volumen, tumefaccion y coloracion roja en region escrotal derecha, fue manejado empiricamente con analgesicos sin mejoria, se realiza exploracion testicular de urgencia, encontrandose torsion testicular completa desafortunadamente el testiculo se encontro necrotico y amerito reseccion. Esta triste historia nos deja el aprendizaje que cualquier dolor o aumento de volumen en el escroto debe ser considerada una urgencia y necesita ser atendida por un cirujano pediatra certificado.
En nuestra practica quirurgica es muy frecuente encontrarnos con el quiste dermoide una patologia muy frecuente en el estado de veracruz, la reseccion de estas lesiones por cirujanos experimentados garantiza una cirugia segura y resultados esteticos satisfactorios
Urgencia quirugica mas frecuente y requiere manejo inmediato. Es una inflamación del apéndice, una bolsa en forma de dedo que se proyecta desde el colon en el lado inferior derecho del abdomen. provoca dolor en el abdomen bajo derecho. Sin embargo, en la mayoría de las personas, el dolor comienza alrededor del ombligo y luego se desplaza. A medida que la inflamación empeora, el dolor de apendicitis por lo general se incrementa y finalmente se hace intenso. Aunque cualquiera puede tener apendicitis, lo más frecuente es que ocurra en personas entre los 10 y 30 años de edad. El tratamiento estándar es la extirpación quirúrgica del apéndice.
Patologia neonatal grave que requiere manejo quirurgico por cirujano pediatra. Es una malformación que genera que el bebé nazca con un segmento del intestino cerrado o bloqueado en uno o más sectores, dejando un espacio y causando que no haya comunicación entre las diferentes partes del intestino. Se produce durante el período de gestación del feto y dependiendo de la ubicación de la atresia se puede determinar el período del embarazo en que ocurrió. cuando las atresias son hasta el duodeno, la malformación se produjo en el principio del embarazo, más específicamente, durante el primer trimestre. Asimismo, agrega que las causas de las atresias superiores son muy variadas, pero generalmente están relacionadas a accidentes vasculares que sufre la madre durante el embarazo.
Grave urgencia quirúrgica caracterizada por dolor abdominal, vómitos y evacuaciones con sangre (en jalea de grosella) requiere intervención inmediata. La invaginación intestinal es la causa más frecuente de obstrucción intestinal entre los niños de 6 meses a 3 años. La afectación es ligeramente mayor en los niños que en las niñas, especialmente después de los 4 años de edad. En la mayoría de los casos, la causa es desconocida. En alrededor del 25% de los niños con intususcepción, generalmente los niños muy pequeños y los niños mayores, el deslizamiento está causado por la presencia de algún elemento en el intestino, como un pólipo, un divertículo de Meckel, un tumor canceroso (maligno) (como un linfoma), o una vasculitis asociada a la inmunoglobulina A.
La gastrosquisis es un defecto de nacimiento en la pared abdominal (área del estómago), en el cual los intestinos del bebé salen del cuerpo a través de un orificio al lado del ombligo. Este orificio puede ser pequeño o grande y a veces también pueden salir otros órganos, como el estómago o el hígado. La gastrosquisis ocurre cuando los músculos de la pared abdominal del bebé no se forman correctamente al inicio del embarazo. Esto crea un orificio por el cual salen del cuerpo los intestinos y otros órganos, por lo general, hacia el lado derecho del ombligo. Debido a que los intestinos no están recubiertos por un saco protector y están expuestos al líquido amniótico, se pueden irritar, lo cual causa que se acorten, retuerzan o se hinchen.
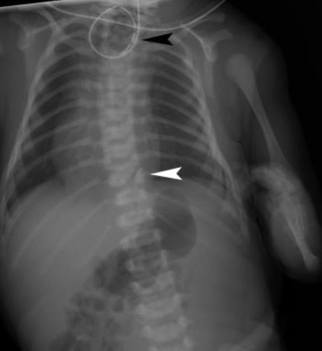
Es un defecto de nacimiento en el que parte del esófago del bebé (el tubo que conecta la boca con el estómago) no se desarrolla adecuadamente. La atresia esofágica es un defecto de nacimiento del esófago (tubo de deglución) que conecta la boca con el estómago. En los bebés que presentan atresia esofágica, el esófago tiene dos secciones separadas (el esófago superior y el esófago inferior) que no se conectan. Al tener este defecto, el bebé no puede pasar alimentos de la boca al estómago y a veces tiene dificultad para respirar. La atresia esofágica con frecuencia se presenta con otro defecto de nacimiento llamado fístula traqueoesofágica, en el que una parte del esófago está conectada con la tráquea.
Las malformaciones anorectales son defectos congénitos (problemas que ocurren cuando el feto se está desarrollando durante el embarazo). Con este defecto, el ano y el recto (el extremo inferior del tracto digestivo) no se desarrollan correctamente.
Ano es el orificio al final del intestino grueso por el cual pasan las heces cuando un niño defeca.
Con una malformación anorectal, pueden ocurrir varias anomalías, incluyendo las siguientes:
El pasaje anal puede ser estrecho
Puede haber una membrana sobre el orificio anal
El recto quizá no se conecte con el ano
El recto puede estar conectado con una parte del tracto urinario o del aparato reproductor a través de un pasaje denominado fístula
La enfermedad de Hirschsprung es un trastorno que afecta el intestino grueso (colon) y causa problemas para la evacuación intestinal. La afección está presente al nacer (congénita) como resultado de la falta de células nerviosas en los músculos del colon del bebé. Sin estas células nerviosas que estimulen los músculos intestinales para ayudar a mover el contenido por el colon, el contenido puede acumularse y provocar una obstrucción en el intestino. Un recién nacido que padece enfermedad de Hirschsprung generalmente no puede evacuar en los días posteriores al nacimiento. En casos leves, la afección quizás no se detecte hasta más tarde en la infancia. El tratamiento consiste en una cirugía para derivar o extraer la parte del colon afectada por la enfermedad.
Es una torsión del intestino sobre sí mismo que puede provocar, entre otras complicaciones, una obstrucción intestinal.1 Los síntomas principales son dolor abdominal, vómitos, estreñimiento y presencia de sangre de color rojo en las heces (rectorragia). Con frecuencia, la torsión afecta al mesenterio, que es la porción del peritoneo por donde transcurren los vasos sanguíneos que llevan sangre al intestino delgado, lo que provoca el colapso de las arterias que no son capaces de aportar el caudal de sangre adecuado a la pared intestinal, produciéndose una isquemia mesentérica que puede tener graves consecuencias, entre ellas la aparición de fiebre, peritonitis, gangrena y parálisis intestinal. El tratamiento es muy variable, dependiendo del caso concreto, la región afectada y las complicaciones que existan. En los casos graves es necesario realizar una resección de una porción del intestino afectado.
La malrotación intestinal es un defecto de nacimiento Enlace externo del NIH que se presenta cuando los intestinos no rotan correcta o completamente a su posición final normal durante el desarrollo. Las personas que nacen con malrotación intestinal podrían desarrollar síntomas y complicaciones, con mayor frecuencia cuando son bebés, pero a veces más tarde en la vida. La malrotación intestinal se diagnostica con mayor frecuencia en los bebés. Hasta el 80 por ciento de los bebés con malrotación intestinal son diagnosticados en el primer mes de nacidos. Se requiere intervención quirugica con reacomodacion intestinal.
El neuroblastoma es un cáncer que se origina a partir de células nerviosas inmaduras que se encuentran en varias áreas del cuerpo.
Su aparición es más frecuente en las glándulas suprarrenales y alrededor de ellas, las cuales tienen orígenes similares a los de las células nerviosas y se encuentran por encima de los riñones. Sin embargo, el neuroblastoma también puede presentarse en otras áreas del abdomen y en el tórax, el cuello y cerca de la columna vertebral, donde existen grupos de células nerviosas.
Con mayor frecuencia, afecta a los niños menores de 5 años.
El tratamiento de los neuroblastomas es la reseccion quirurgica del tumor.
Es una enfermedad por la que se forman células malignas (cancerosas) en los tejidos del hígado. Es el tipo de cáncer de hígado infantil más común y, por lo general, afecta a niños menores de 3 años.
Los tipos histológicos del hepatoblastoma son los siguientes:
Hepatoblastoma de tipo histológico fetal bien diferenciado (fetal puro).
Hepatoblastoma de tipo histológico indiferenciado de células pequeñas y tumores rabdoides del hígado.
Hepatoblastoma de tipo histológico fetal que no está bien diferenciado, tipo histológico indiferenciado de células no pequeñas.
Exiten tipos de hepatoblastoma mas agresivos, el tratamiento en todos es quirurgico con reseccion de segmentos del higado y en casos graves reseccion completa del higado con transplante.
Es un cáncer de riñón poco frecuente que afecta principalmente a los niños. También conocido como "tumor de Wilms", es el tipo de cáncer de riñón más frecuente en los niños. El tumor de Wilms afecta con mayor frecuencia a niños de 3 a 4 años y se vuelve mucho menos frecuente después de los 5 años de edad.
El tumor de Wilms se presenta con mayor frecuencia en un solo riñón, aunque a veces puede encontrarse en ambos riñones al mismo tiempo.
El diagnostioco se hace en quirofano y el tratamiento es quirurjico.
Las células germinales que crecen de manera anormal pueden transformarse en un tumor. Con frecuencia, estos tumores se desarrollan en los ovarios o los testículos. Como las células germinales viajan a lo largo de la línea media para llegar a los órganos reproductores a medida que desarrolla el feto, a veces pueden asentarse en otros lugares.
A los niños con tumores de células germinales benignos se les hará una cirugía para extraerlos. Quienes tengan tumores malignos primero tendrán que atravesar un proceso que se denomina estadificación.
El varicocele es la dilatación de las venas dentro de la piel flácida que sostiene los testículos (escroto). Estas venas transportan sangre sin oxígeno desde los testículos. Un varicocele se produce cuando la sangre se acumula en las venas en lugar de circular de manera eficaz hacia el exterior del escroto.
Un varicocele puede causar el desarrollo deficiente de un testículo, baja producción de esperma u otros problemas que pueden provocar infertilidad. Es posible que se recomiende cirugía para tratar el varicocele a fin de abordar estas complicaciones.
Vicepresidente de la Sociedad de Pediatría y Cirugía Pediátrica de la región Córdoba-Orizaba.
Especialista en Pediatría y Cirugía Pediátrica, con certificación por los Consejos Nacionales de Pediatría y Cirugía Pediátrica.
Miembro activo de diversas sociedades regionales y nacionales en el ámbito de la Cirugía Pediátrica.
cirujano pediatra Agustin Bejar
Dr. agustin Bejar cirujano
dr.agustinbejar@gmail.com
dr.Agustinbejar
Dr. Agustin Bejar Martinez
CONSULTORIO MEDICO ORIZABA Calle norte 9 esquina Poniente 12 A numero 75 Colonia union obrera CP 94350 Orizaba, Veracruz
CONSULTORIO CORDOBA Avenida 11 numero 2011 entre avenidas 20 y 22 col san jose, CP 94560 Cordoba, Veracruz
CLINICA SANTA FE Avenida monasterio calle 1 colonia popular UNE CP 94140 Coscomatepec de bravo, Veracruz